健康知识
如何预防和早期发现消化道肿瘤
癌症是严重危害人民生命、健康的常见多发病,我国每年癌症发病人数约160万。消化道中的食管、胃及大肠是癌的好发部位,这三处的癌症患者占了常见恶性肿瘤患者的四分之一以上。海军总医院航海航空医学中心杨文
一、食管贲门癌
引起食管贲门癌的危险因素:(1)烟和酒:长期吸烟和饮酒与食管癌的发生有关。(2)食管的局部损伤:长期进食粗硬食物、热汤、烫粥、烫茶或辣椒之类刺激性食物(3)亚硝胺:亚硝胺类化合物是一种很强的致癌物,已知有十几种亚硝胺能引起动物的食管癌。(4)霉菌:已有研究发现10多种霉菌毒素能诱发动物不同器官的肿瘤。(5)营养和微量元素:膳食中缺乏维生素、蛋白质及必须脂肪酸。这些成份的缺乏,可以使食管黏膜上皮增生、间变、进一步引起癌变。(6)遗传易感性:临床流行病学研究发现,食管癌有一定的家族聚集性,不排除有遗传因素参与。
食管癌的早期信号:(1)噎食:就是咽食物时有阻力,咽食不畅,有堵塞感、或有异物感,呈渐进性加重,(2)吞咽困难:吞咽时胸骨后有轻度闷、胀不适感或隐痛感,常在饮水、喝酒或喝酸性饮料时,出现食管内持续性灼痛或刺痛。(3)吞咽异物感:吞咽时自觉食管内有异物,似饭粒或茶叶碎片黏附于食管上,咽之不下,吐之不出。以上三种症状的发生率占全部早期食管癌症状的80%以上,而吞咽不适的感觉占全部症状的30%以上。
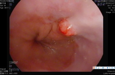
二、胃癌
胃癌病因目前尚不十分清楚。就目前研究资料得知,胃癌的发生与下列因素有关:(1)饮食与生活习惯:咸菜、腌肉、熏制食物为主要副食者,胃癌发病率显著增高。副食品中以蛋白质、新鲜蔬菜、水果摄入量多,则胃癌发生率就明显降低。(2)环境因素:流行病学调查发现,土壤及饮水中缺乏微量元素(如铜、锰、锌、硒、镁)的地区,胃癌发病率就增高。(3)免疫因素:凡免疫功能低下者,胃癌发病相对增高,(4)遗传因素:多数回顾性调查资料认为,胃癌有明显的家族聚集倾向。一般认为,胃癌病人亲属的胃癌发病率比对照组高4倍。(5)感染因素:幽门螺杆菌感染的高危人群患胃癌的危险性较低感染者高6倍。(6)其他因素:许多疾病被认为与胃癌的发生有关,如慢性萎缩性胃炎、慢性胃溃疡、胃息肉等。
胃癌的早期信号:(1)年龄40岁以上,以往无胃病史,突然食欲减退,饭后饱胀,上腹部隐痛或消瘦(2)以往胃病表现的规律疼痛突然改变,按胃溃疡治疗效果不佳。(3)平时胃酸少,爱吃酸性食物或经确诊为萎缩性胃炎或不典型增生,病史较久,又突然消瘦、贫血、怕吃油腻或消化不良症状加重。(4)年龄40岁以上,消化道出血(呕血或黑便),或连续化验大便隐血阳性持续两周以上。(5)胃溃疡经正规治疗两个月以上不愈者。(6)进行性消瘦及贫血者。
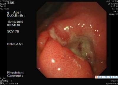
三、大肠癌
大肠癌好发年龄一般在50~70岁,男性比女性多。大肠癌的致病原因尚不明确。大肠癌的早期信号:(1)粪便带鲜血,(2)持续或反复发作的脓血便,有排不尽感觉,(3)排便习惯改变,超过3周应注意。(4)大便形状改变,变细、变扁或有槽沟。(5)出现贫血,粪便检查反复多次或持续出现隐血者。(6)持续性下腹部不适、腹部肿块、体重减轻。
癌症的发生和发展并不是一个早晨就出现的,它有着一个漫长的、足够让我们进行干预的时间。只要我们改变不良的生活习惯、注意和警惕癌症的早期信号,癌症的治愈率和生存率必将有一个大的提高。


































