健康知识
洗牙到底好不好
有的人经常埋怨说,洗牙不要,我的牙缝都被洗大了 。其实要告诉大家的是,洗牙绝对是好的,觉得牙缝大了那是因为你洗完了,牙石太多,已经导致牙龈的退缩,牙槽骨吸收了,如果再不洗牙,你的牙就会松动脱落了。

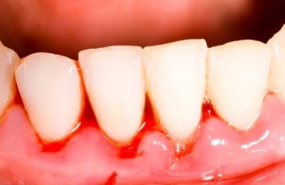
如果您有牙龈出血的症状,就说明您已经牙龈炎了,请尽快去洗牙。
很多人说,我天天刷牙还用洗牙吗,洗牙就是超声波牙上洁治,并不是大家理解的用钻去打磨,对牙齿本身并没有伤害的。它通过超声波把牙石,软垢等震碎,然后清洗。


洗牙是基本的口腔护理保健,建议一年去正规机构清洗一次,而且它也是进行牙周治疗的第一步。如果您的牙龈萎缩了,牙齿出现松动的情况请尽快找专业的牙周科医生就诊。
如果就是单纯的洗牙可以直接挂牙周洁治,每天都有专门的大夫出诊的。
如果觉得自己有牙龈炎,牙周炎,可以挂牙周专科就诊:每周二下午,周三上午。




























