图片新闻
“双十一”遇上“熊猫血”——我院神经外科救治Rh阴性血型头部摔伤患者

11月11日,是一个让网络电商和网购爱好者们激动不已的日子,熬夜秒杀自己心仪的物品。在神经外科值班的我们也度过了一个不眠之夜,是因为救治了一名特殊的患者。
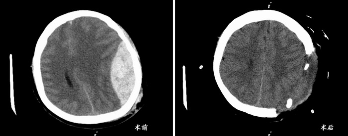
54岁的周女士,癫痫病史已经30年了,家住在丰台区,11日来通州看望朋友的途中因癫痫发作意识不清摔伤头部。21点15分,患者入院时已经处于深昏迷状态,刺痛无反应,双侧瞳孔不等大,对光反射消失。急诊头部CT检查显示周女士左侧颞、顶、枕硬膜外血肿,量约90ml,脑疝形成。王浩副主任医师、侯哲医师,王森住院总医师立即组织抢救,向家属交代目前病情,准备急诊开颅手术。由于血肿位置与静脉窦临近,术中需要准备输血。大家都在焦急等待着周女士的化验单以确定输血血型。时间一分一秒地过去,急诊化验室第一时间告知了化验结果,却令大家大吃一惊:周女士是罕见的“熊猫血”即Rh阴性血型,已经做过两次核对!这么罕见的血型血库能够供给吗?很棘手的问题!王浩副主任立刻与医院输血科联系,并联系神经外科张洪兵主任告知情况。输血科刘树春主任了解情况后要求再次配血,确认无疑是Rh阴性血型后迅速与通州区血站联系。经过刘主任的积极协调后给出了两套保障方案:通州区血站派专人送当时仅有的2单位Rh阴性血到医院;联系专业人员将储备冰冻Rh阴性血复温(需要3-5小时的过程),保障手术用血。张洪兵主任也第一时间赶到了医院安排抢救工作,联系手术室,准备自体血液回收机,准备两台双极电凝,术中争取将出血降到最低。

22点35分,一切保障到位后,手术开始了,麻醉、消毒、铺巾……紧张而有序,大家屏住呼吸,全神贯注。术者操作格外小心翼翼,遇到血管提前分离、烧灼,仔细止血,把已经出的血用吸引器全部回吸收一滴不剩。钻孔、铣骨瓣、吊硬膜,吸血肿、剪硬膜、探查硬膜下腔,每一个操作都迅速而熟练,术者不放弃任何一个小的出血点。零点40分,手术室里的手术接近了尾声,血肿清除完毕,放置引流,王浩副主任反复冲水确认无明确出血点后关颅,手术顺利结束,术中出血240ml。手术后的清洁袋里居然是干干净净的,放置的硬膜外引流也没有血液引流出来。经过2个多小时的手术,大家虽然都很疲惫,可心里还是充满喜悦的。术后第2天,周女士就苏醒了,言语流利,四肢活动正常,复查头部CT,血肿清除,手术效果满意。这就是神经外科在双“十一”遇到“熊猫血”,多方协作,终保患者平安康复的故事。
“熊猫血”即Rh阴性血型,是非常稀有的血液种类,人类红细胞血型由多达二十多种的血型系统组成,ABO和Rh血型是与人类输血关系最为密切的两个血型系统。当一个人的红细胞上存在一种D血型物质(抗原)时,则称为Rh阳性,用Rh(+)表示;当缺乏D抗原时即为Rh阴性,用Rh(-)表示。Rh(-)的分布因种族不同而差异很大,在白种人中的比例较高,约百分之十五;中国99%以上的人为Rh阳性。Rh血型是继ABO血型发现后临床意义最大的一种血型,也是最复杂的血型系统之一。与Rh血型不合的输血可危及患者的生命,中国汉族人Rh阴性占0.2%~0.5%,而Rh阴性受血者则受Rh阳性抗原刺激的机率为99.6%~99.8%,经过一次输入Rh阳性血后50%以上的Rh阴性者会产生抗Rh抗体,如果再次输入Rh阳性血液后更容易发生输血反应。

























