科普知识
眩晕可防可治!
眩晕/头晕是临床上最常见的症状之一。据统计,因眩晕/头晕就医的患者占神经内科门诊的20%。
由于眩晕/头晕的病因繁多,临床表现复杂多变,涉及多个临床学科,故而在日常诊疗工作中及时获得正确的诊断,并给予有效的治疗并非易事,因此产生了很多误区,其中最为常见的一个误区为:很多人习惯将眩晕/头晕归因于“颈椎病”和“脑供血不足”。然而实际情况是“颈椎病”极少表现为眩晕。而“脑供血不足”的诊断现象更是已经被废除。
那么事实上导致眩晕/头晕的疾病究竟是什么呢?据统计,临床较常见的眩晕疾病为良性阵发性位置眩晕(耳石症)、前庭神经炎、主观性头晕、前庭性偏头痛、梅尼埃病,而表现为孤立性眩晕的后循环卒中以及前庭阵发症相对少见。其它一些系统性疾病如贫血、高血压、糖尿病、眼屈光不正也可引起头晕不适,但这时并没有真正的旋转感。以上这些眩晕/头晕疾病,如果能及时给予正确诊断及适当的治疗,绝大部分患者的不适症状是可以有效缓解、甚至消除的。并可通过积极的预防措施避免再次发作。
因此,作为致力于眩晕/头晕规范化诊治的专科医师,我们坚信随着眩晕/头晕诊治知识的普及和推广,在医生和患者的精诚合作、共同努力下,眩晕/头晕患者的明天必将更加美好!
常见眩晕知识科普——知己知彼,百战不殆
1.什么是耳石症
耳石症,又称为“良性阵发性位置性眩晕”,简称BPPV,是内耳前庭中的耳石脱落到半规管后出现的疾病,是临床最为常见的眩晕疾病。主要表现为:在头部位置改变(如躺下、爬起、平躺时翻身、抬头、低头、弯腰等)时出现短暂的眩晕发作。该病眩晕发作常只持续几秒~几十秒钟,很少超过1分钟。部分患者可能存在眩晕后持续数小时到数天的头昏及行走不稳感。
主要的治疗方法:手法复位,但复位方法有多种,需专业医师根据病情选择并执行,切勿自行复位。有少部分患者一次复位没有成功,此时需要你按照下图所示的方法进行锻炼后再行手法复位。

(坐在练习床边向两侧倒,每次停留大约5~10秒,坚持早晚各练习一次,每次20分钟)
2.梅尼埃病的治疗及预防
梅尼埃病,又称原发性膜迷路积水,主要临床表现为发作性眩晕、听力减退、耳鸣以及耳胀满感。眩晕发作持续时间为20分钟到12小时不等,通常不超过1天。发作频率从一周数次到数年一次均有可能。病程初期,眩晕发作后的听力减退和耳鸣完全可以缓解,随病程进展会出现患者永久性耳鸣及听力受损。

梅尼埃病典型的电测听表现 肌源性前庭诱发电位
治疗:对于确诊梅尼埃病的患者,有效的预防急性眩晕发作是治疗的重点。除了坚持药物治疗外,生活习惯的调整对于预防发作也是极其重要的,甚至比药物治疗更为重要,请您务必重视。具体如下(1)清淡饮食(少盐,建议每日摄入量<1.0g),尽量避免吃腌制食品如咸肉、香肠、腊肉、咸菜和一些半成菜品。(2)尽量不要饮用咖啡、茶、酒,但可适当多喝白开水,禁烟。(3)避免劳累,保证睡眠,鼓励增加体育锻炼。(4)敏使朗一天三次,一次两片,坚持服药6-12个月。(5)对大部分眩晕患者而言,身边可常备“晕车药”(如眩晕停),一但出现眩晕发作,临时吃2片可以明显减轻不适感。
3.前庭性偏头痛
前庭性偏头痛(VM)是反复发作的自发性眩晕的最常见的原因之一,大约10%的偏头痛患者会出现MV,虽然有时候眩晕和偏头痛不是同时发作,但只要有偏头痛病史,医生常常会考虑是否符合“前庭性偏头痛”诊断。有时你的偏头痛病史可能不典型,可能仅仅是晕车、晕船,或者家庭里面其他直系亲属晕车、头晕或者头痛病史,都有可能提示您患有VM的可能。
前庭性偏头痛的临床表现是相当多变的,它可能表现为自发性旋转性眩晕、位置性眩晕,或头动耐受不良。这些不同表现可单独、同时或相继发生。发作持续时间可达数小时至数天。
治疗及预防:前庭性偏头痛与偏头痛类似,虽然有可能反复发作,但预后良好。因而治疗重点在于减少发作,主要的注意事项包括:(1)注意休息,避免劳累,避免熬夜,保证睡眠;(2)忌烟、酒、茶、咖啡、奶酪、巧克力、腌制食品等;(3)适当加强体育锻炼;(4)洗澡时避免水温过高。另外我们会根据您的具体病情,发作频率,适当选择一些改善头晕症状,或预防发作的药物,请务必按照医嘱用药。

头痛与眩晕关系密切
4.前庭神经炎
前庭神经炎是第二位最常见的,仅次于良性发作性位置性眩晕的外周性前庭病变,其发病率为3.5/10万。起病急,严重的眩晕可持续数日至数周,常伴有恶心、呕吐、向一侧倾倒。因为前庭神经炎能否早期应用激素治疗,对于患者的预后十分重要,并且有多种疾病会导致类似的持续性眩晕(如脑卒中)。因此一旦发生持续性眩晕发作,请务必及时就医,以免延误病情。
治疗:前庭神经炎急性期(起病2周内),治疗药物主要为糖皮质激素,同时配合敏使朗改善内耳循环,腺苷钴胺营养神经等,可以有效缓解症状,改善预后。其次,尽早开始前庭功能锻炼对于促进疾病恢复,改善预后也是很重要的。

太极拳是一种有效的前庭功能锻炼方式,可有效促进前庭功能恢复,改善头晕症状。
5.后循环缺血
后循环缺血并不是急性眩晕的常见原因,但如果未得到及时的治疗,将会产生严重的后果。后循环缺血会导致脑干、小脑功能障碍而出现眩晕,但常常会同时出现一些脑部症状:如言语含糊、吞咽困难、肢体无力、肢体或面部麻木、口角歪斜、视物成双等。因此,一旦出现脑部症状,无论有无眩晕,请您立刻去医院急诊就诊。


后循环缺血也可以表现为眩晕

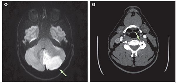
小脑梗死的MRI表现
需要说明的是虽然部分后循环缺血会引起孤立性眩晕的症状,但绝大部分的不伴有脑部症状的孤立性眩晕并不是脑梗死所致。尤其需要注意的是,颈部血管超声、TCD等检查提示的“血管狭窄、椎基底动脉供血不足”等检查结果,并不是诊断后循环缺血的依据,而且在正常人群中约
15%的人存在一侧椎动脉变细现象。因此,可以这样说,临床绝大部分眩晕发作与脑血流无关,而且“脑供血不足”这个诊断目前已被医学界废除。所以,请您不必因一份这样的TCD或颈部血管超声的报告而过分担忧。如我们考虑存在后循环缺血的可能性,我们将会根据需要为您预约头颅MRI检查。

脑血流图不能成为诊断眩晕疾病的标
6.主观性头晕
眩晕疾病与抑郁、焦虑、惊恐等精神源性疾病,存在共同通路,所以眩晕疾病的患者很容易出现睡眠差、记忆力下降等表现,同样,很多精神源性疾病可出现头晕等不舒服的症状,称为主观性头晕。因此二者属于共病关系,一旦出现这些精神源性症状,除了适当多锻炼外,可以使用抗焦虑、惊恐疾病的药物,如黛力新、舍曲林等,通常需坚持服药6-9月,且需要在医师的指导下逐渐减量停药,且不可自行停药。

更多
相关文章
- 从"老糊涂"到"有药可治"——潞河医院完成首例阿尔兹海默病靶向药物仑卡奈单抗治疗
- 首都医科大学附属北京潞河医院临床营养科特殊医学用途食品项目遴选结果公示
- 首都医科大学附属北京潞河医院2026年北京市住院医师规范化培训社会人招录
- 致神经内科一科室全体医护工作者的感谢信
- 特色专科专病门诊
- 首都医科大学附属北京潞河医院门诊异地医保慢特病直接结算问与答
- 首都医科大学附属北京潞河医院住院医师规范化培训基地工作介绍
- 潞河护理介绍
- 首都医科大学附属北京潞国家药物临床试验机构介绍
- 神内简介
- 优秀科研成果展示(一)
- 潞河科研喜讯—2021年度国家自然科学基金申请项目评审结果公示
- 首都医科大学中心实验室薛冰主任莅临我院视察指导工作
- 糖尿病研究所团队
- 潞河医院神经内科周围神经疾病组与电生理检查室
- 神经内科团队
- 检验科特色项目简介
- 致神经内科堵向楠大夫、白凤羽护士以及各位神内一病区的感谢信
- 首都医科大学附属北京潞河医院2025年北京市住院医师规范化培训招录简章
- 首都医科大学附属北京潞河医院内分泌代谢与免疫性疾病中心简介
更多
视频中心
-
妊娠期高血压的相关预防 浏览量:0
-
科普小知识:妊娠期糖尿病 浏览量:0
-
高血压脑出血的防治 浏览量:0
-
高血压的自我管理 浏览量:241
-
高血压脑内出血手术治疗 浏览量:255
-
脑卒中的诊断治疗康复 浏览量:356
-
超早期脑卒中的识别和管理 浏览量:235
-
动漫粥样硬化 浏览量:231
-
头晕与眩晕的正确诊断 浏览量:398
-
您了解糖尿病吗? 浏览量:266
-
颈椎病的几个问题 浏览量:267
-
妊娠期糖尿病 浏览量:398
-
妊娠期高血压疾病 浏览量:418

























