特色诊疗
超声引导下淋巴结穿刺技术
有些患者常常在体检中或无意中发现浅表部位如颈部、腋窝、腹股沟或深部如纵隔,腹腔等处淋巴结肿大,让人恐慌,事实上淋巴结肿大的原因有多种,绝大部分都是可以通过早期诊断及时治愈的,如淋巴结炎、反应性淋巴结增生、淋巴结结核、结节病、淋巴瘤等。要弄清楚具体是哪种病因所致,除了需要结合血液检查、影像(B超、CT、核磁等)检查之外,最重要是需要淋巴结的组织或细胞学检查作为最终的诊断依据,取得淋巴结组织或细胞需要采取淋巴结活检或穿刺检查,而一些邻近大血管神经部位的淋巴结或脏器深部淋巴结不宜行开刀手术取得,就可以采用超声引导穿刺的方法取得淋巴结组织或细胞进行病理检查。这样一方面减轻了患者开刀手术痛苦,另一方面避免手术造成瘢痕影响患者的美容,因此是一种较容易接受的诊疗技术,以下图片为部分患者在我院通过超声引导下穿刺诊断及治疗前后的影像对比。
腹膜后弥漫大B淋巴瘤治疗前、后CT横断面图像

腹腔弥漫大B淋巴瘤治疗前、后CT横断面影像

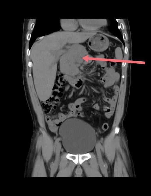
腹腔深部包块CT冠状位图像

腹腔深部包块CT横断面图像

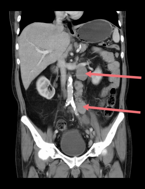
腹腔霍奇金淋巴瘤CT冠状位图像

腹腔霍奇金淋巴瘤CT横断面图像


























