


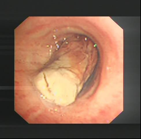
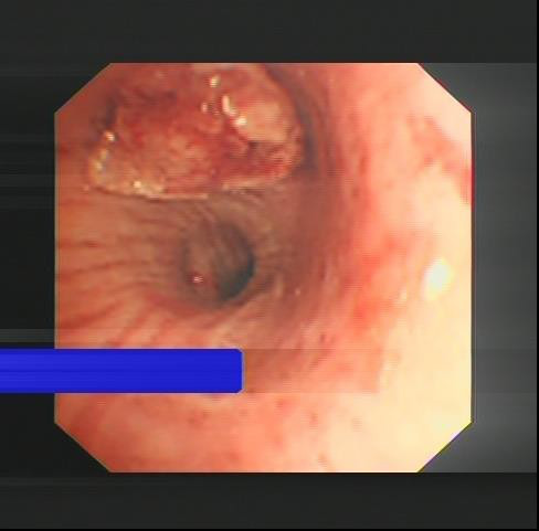
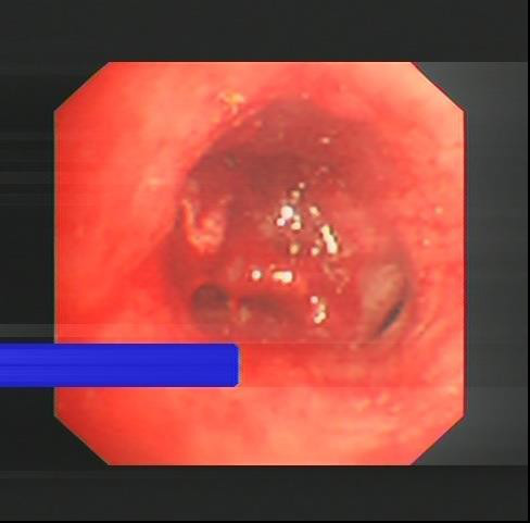
电圈套器肿瘤套扎治疗:新生物堵塞左主支气管,套扎后仍可见新生物堵塞左上叶,继续套扎,左舍叶可见
京ICP备10216567号 京卫计网审[2015]第0059号
工信部链接:https://www.beian.miit.gov.cn
版权所有:首都医科大学附属北京潞河医院(潞河医院)
地址:北京市通州区新华南路82号
电话:010-69543901 医疗机构医保代码:12110001 技术支持:
京ICP备10216567号 京通公ICP备1102230048号 京卫计网审[2015]第0059号

