科室相册
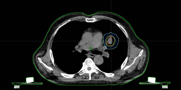
肺癌大分割放疗计划剂量线

更多
相关文章
- 我院病理科喜获2020年度国家病理质控中心基因检测能力验证
- 检验科特色项目简介
- 2017年度我院国家自然科学基金获批3项
- 荧光原位杂交(FISH)检测助力分子病理发展
- 关于公布2021年潞河医院青年科研孵育专项评审结果的公告
- 潞河病理多学科协作&肺癌论坛
- 关于公布2021年潞河医院青年科研孵育专项评审结果的公告
- 肺癌大分割放疗计划图
- 肺癌大分割放疗计划剂量线
- 我院成功实施首例胸腔镜下左肺下叶肺段切除术
- 我院胸外科自主完成首例胸腔镜联合肺叶切除术
- 胸、腹腔镜微创同台 助患者快速康复出院
- 我院成功完成首例全胸腔镜肺癌根治术
- 我的团队我的姐妹
- 我院血管外科成功完成首例上腔静脉临时滤器置入
- 我院首例胸腔镜肺叶切除手术获得成功
- 潞河—胸科紧密协作 危重患者转危为安 | 潞河医院与胸科医院跨院联动成功救治肺癌骨转移合并肺栓塞患者
- 多学科护航精准施治 助高龄肺癌合并冠心病患者获新生
- 双剑合璧 心肺同治——潞河医院心外科联合胸外科完成不停跳冠脉搭桥术和肺癌切除术
- 一种肺癌放疗用辅助设备
更多
视频中心

























